یکشنبه 04 اسفند 1404 - 22:39
ساخت ابزار اندازهگیری سرعت پیری و پیشبینی زوال عقل
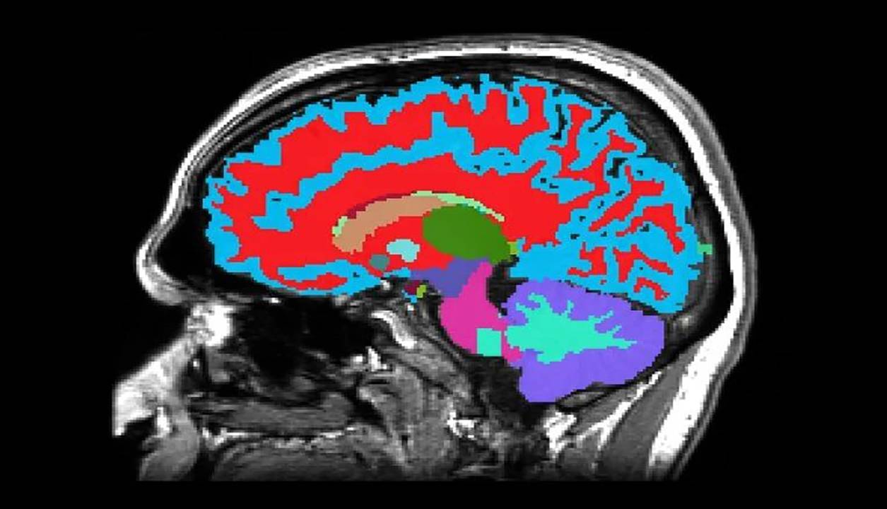
باشگاه خبرنگاران/ تا حالا به این موضوع توجه کردهاید که بعضی افراد با افزایش سن، همچنان سرحال و فعال میمانند، در حالی که بعضی دیگر خیلی زودتر از آنچه انتظار میرود، کُند میشوند؟ پیری برای همه به یک شکل اتفاق نمیافتد.
دانشمندانی از دانشگاه دوک و دانشگاه هاروارد در آمریکا و دانشگاه اوتاگو در نیوزیلند، ابزار جدید قدرتمندی ساختهاند که سرعت واقعی پیر شدن افراد را نشان میدهد و تنها چیزی که برای آن لازم است، یک تصویر لحظهای از مغز است.
این ابزار میتواند با یک اسکن اِمآرآی، خطر ابتلای افراد به بیماریهای مزمن را در مراحل بعدی زندگی آنها، مدتها قبل از بروز هر گونه علائم، تخمین بزند. این بینش اولیه میتواند به افراد کمک کند که در سبک زندگی و رژیم غذایی خود تغییراتی ایجاد کنند تا برای مدتی طولانیتر سالم بمانند.
این اسکن حتی میتواند احتمال ابتلای افراد مسن به زوال عقل و سایر بیماریهای مرتبط با افزایش سن را پیشبینی کند؛ هر قدر این خطرات زودتر شناسایی شوند، احتمال کاهش سرعت پیشرفت آنها بیشتر میشود و بهتر میتوان آنها را مدیریت کرد.
احمد حریری، استاد روانشناسی و علوم اعصاب در دانشگاه دوک در آمریکا گفت: نکته واقعاً جالب درخصوص این موضوع این است که ما با استفاده از دادههای جمعآوریشده در میانسالی افراد، سرعت پیر شدن آنها را ثبت میکنیم و این به ما کمک میکند تا احتمال ابتلای افراد سالمند به زوال عقل را پیشبینی کنیم.
حریری اظهار کرد: یافتن راههایی برای کاهش سرعت زوال عقل مرتبط با سن، به افراد کمک میکند سالمتر و طولانیتر زندگی کنند؛ اما ابتدا باید بفهمیم چگونه میتوانیم پیری را به روشی دقیق رصد کنیم.
وی افزود: الگوریتمهای متعددی برای اندازهگیری میزان پیری افراد طراحی شده است؛ اما بیشتر این «ساعتهای پیری» به دادههای جمعآوریشده از افراد در سنین مختلف در یک نقطه زمانی واحد متکی هستند و وضعیت همان افراد را در طول عمرشان دنبال نمیکنند.
یافتههای این پژوهش به صورت مقالهای در مجله نِیچِر اِیجینگ (Nature Aging) منتشر شده است.
پربیننده ترین
-
عکس مسی درآمد؛ آخرین توپ طلا با آرایشگر ویژه!
-
10 جایزه 5 میلیون تومانی برای کاربران آخرین خبر (مهلت شرکت در مسابقه تا 9 آذر تمدید شد.)
-
10 جایزه 5 میلیون تومانی برای کاربران آخرین خبر (مهلت شرکت در مسابقه تا 9 آذر تمدید شد.)
-
چراغ قوه همه کاره ( پاور بانک، شیشه شکن و ... )
-
هشدار آبفای کشور به مردم؛ هیچ ماموری فعلا برای قرائت کنتور آب مراجعه نمیکند
-
آخرین وضعیت راهها در چهارمین روز از سال جدید؛ محور چالوس از شنبه دوباره بسته میشود
-
جارو شارژی !! دیگه نگران نظافت ماشین نباشید
-
زنده؛ بیرانوند در یک قدمی استقلال
-
"دنا پلاس اتومات" بخریم یا "تارا اتومات؟"/ مقایسه اختصاصی "آخرینخودرو" از دو خودروی پرطرفدار
-
فشار آبرو چند برابر کن ....
-
فرمانده کل قوا: ملت ایران در مقابل جنگ تحمیلی محکم میایستد همانگونه که در مقابل صلح تحمیلی نیز محکم خواهد ایستاد
-
چالش/ بازیکن داخل تصویر رو حدس بزن (16)
-
5 نشانه ضعیف شدن ریه ها و بهترین روش تقویت آن چیست؟
-
لندکروزر یا ۲۰۶؟ / مقایسه جالب "آخرینخودرو" به بهانه سخنان جنجالی میرسلیم
-
پایان زودهنگام گنبد آهنین؟ اسرائیل مجبور به جیرهبندی موشکها شد
-
سپ، برترین شرکت در خاورمیانه شد
-
گردونه را بچرخانید، بیتکوین دریافت کنید
-
واکنش عراقچی به تجاوز امروز آمریکا به تأسیسات هستهای فردو، نطنز و اصفهان
آخرین اخبار
-
مکلارن تسلیم شد، ابرشاسیبلند هیبرید برای رقابت با فراری ساخته میشود
-
حریق خودروی پراید در الهیه جنوبی بندرعباس
-
10 رینگ معروف در صنعت خودرو؛ کدام یک انتخاب شماست؟
-
جریمه قاچاقچی حوله تنظیف در اندیمشک
-
معاون رئیسجمهور: بهرهبرداری ناپایدار تهدیدی برای محیطزیست چهارمحال وبختیاری است
-
فراری پوروسانگوئه G ادیشن کیوانی، دایناسور زرد ۱.۵ میلیون دلاری!
-
دیدار رئیس پارلمان عراق با کاردار آمریکا بر سر سرنوشت پایگاه عینالاسد
-
شوهرم در رسیدگی به بچهها ابدا کمک نمیکند
-
رونمایی از لوگو هیئت فوتبال استان تهران با حضور مهدی تاج
-
استانداری مازندران به پنل خورشیدی مجهز شد
-
رئیس کل گمرک: طلای وارداتی بابک زنجانی قاچاق نبوده است
-
تمدید کنسرت «ایرانم» علیرضا قربانی
-
بهروز سلطانی: وقتی از برخی ایجنت ها بازیکنی جذب پرسپولیس نمی شود
-
بهروز سلطانی: وحید هاشمیان مدیریتی در سطح علی پروین دارد، اگر به حاشیه نرود صد درصد موفق می شود
-
حضور مهدی تاج در مجمع سالیانه هیئت فوتبال تهران
سایر اخبار مرتبط
نظرات
ثبت نظر
مهمترین اخبار
رئیس کل گمرک: طلای وارداتی بابک زنجانی قاچاق نبوده است
سهشنبه 05 شهریور 1404 - 12:06:40
۸۶ درصد از مطالبات گندمکاران تسویه شد
سهشنبه 05 شهریور 1404 - 12:00:54
ورود گروه صنعتی زر به باشگاه کلان پروژههای انرژی خورشیدی
سهشنبه 05 شهریور 1404 - 11:59:40
افزایش مجدد قیمتها در بازار طلا و سکه؛ دلار به کانال 96 هزار تومان رسید
سهشنبه 05 شهریور 1404 - 11:38:45
واردات هفت کشتی بنزین در جنگ ۱۲ روزه به کشور
سهشنبه 05 شهریور 1404 - 11:27:00